现代健康报 > 健康科普
肠镜一照,息肉现形!形态各异的大肠息肉,离癌有多远?
2025-09-12
作者:陈亮任
作者单位: 高州市人民医院 广东 高州 525200

肠道内窥镜的光芒在肠道皱褶间游走,每一次探索都如一场无声的暗夜巡防。突然,屏幕上一颗微小的凸起凝固了医生的视线——这就是大肠息肉,潜伏在肠壁上的“不速之客”。当肠镜的光束照亮它们的身影,一场关乎肠道健康乃至生命安全的无声战争便悄然打响。从看似无害的增生到潜在危险的癌前病变,这些形态各异的肠道凸起,究竟与癌症有多远的距离?

一、大肠息肉——肠道里的“不速之客”

大肠息肉,本质是肠黏膜表面隆起性病变的总称。它们形态各异,有的如米粒般微小,有的形似蘑菇,有的则如小山丘般平坦广基。更关键的是它们的“内在性格”——病理类型,这直接决定了它们的“危险系数”及与癌症的距离。

二、病例档案——息肉众生相与癌变距离

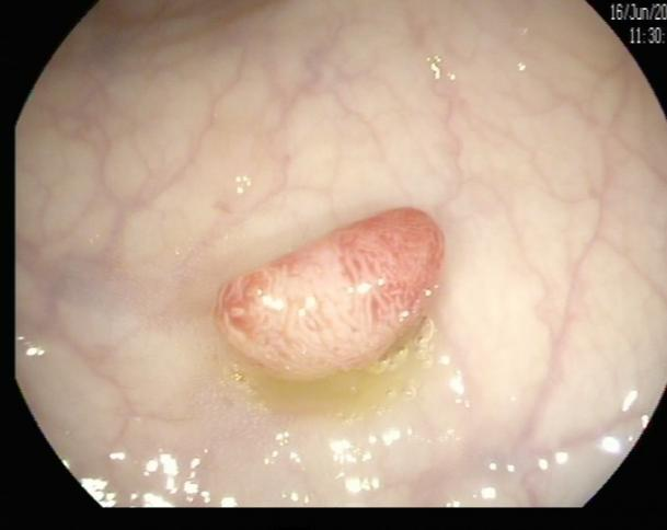
(1)赖女士(62岁,横结肠息肉,图1)

肠镜一照,息肉现形!形态各异的大肠息肉,离癌有多远?(图1) 

图1

病理诊断:管状腺瘤,伴低级别上皮内瘤变。

解读:管状腺瘤是最常见的腺瘤性息肉。低级别上皮内瘤变意味着腺体结构和细胞出现了轻度到中度的异常改变,是明确的癌前状态。此阶段积极切除并定期复查,可有效阻断癌变进程。距离癌:一步之遥,癌前病变中期。

(2)陈先生(44岁,乙状结肠息肉,图2)

肠镜一照,息肉现形!形态各异的大肠息肉,离癌有多远?(图2) 

图2

病理诊断:(乙状结肠)管状腺瘤,局灶癌变-黏膜内癌(腺癌),脉管未见癌栓,蒂未见累及。

解读:这是从腺瘤发展成癌的典型案例。“局灶癌变”指息肉中只有一小部分区域发生了真正的癌变。“黏膜内癌”指癌细胞仍局限于黏膜层内,尚未穿透黏膜肌层向更深层浸润。脉管无癌栓、蒂部未累及是非常积极的信号,表明癌细胞尚未通过血管/淋巴管扩散,也未侵犯息肉蒂部。此时完整切除息肉,很大可能达到根治效果。距离进展期癌:非常近,但尚属极早期,原位癌/粘膜内癌。

(3)邓先生(54岁,乙状结肠息肉,图3)

肠镜一照,息肉现形!形态各异的大肠息肉,离癌有多远?(图3) 

图3

病理诊断:(乙状结肠)管状腺瘤。

解读:这是最常见的腺瘤类型。若未发现高级别瘤变或癌变,属于相对早期的癌前病变。但放任不管,其癌变风险随时间推移而增加。距离癌:潜在风险,癌前病变早期。

(4)黄先生(32岁,升结肠息肉,图4)

肠镜一照,息肉现形!形态各异的大肠息肉,离癌有多远?(图4) 

图4

病理诊断:潴留性息肉(或称幼年性息肉)。

解读:这类息肉常见于儿童和青少年,但成人也可发生。是黏膜腺体扩张、分泌物潴留形成的错构瘤性病变,本质上是良性,通常不具有癌变潜能。距离癌:基本安全,良性息肉。

(5)黄女士(55岁,升结肠息肉,图5)

肠镜一照,息肉现形!形态各异的大肠息肉,离癌有多远?(图5) 

图5

病理诊断:传统锯齿状腺瘤。

解读:锯齿状息肉家族中的一员,但比增生性息肉危险得多。传统锯齿状腺瘤具有明确的癌变潜能,且其癌变途径可能与传统腺瘤不同(常涉及BRAF基因突变),生长部位(近端结肠如升结肠)和形态(常扁平、不易察觉)使其更具隐蔽性和危险性。距离癌:高危,重要癌前病变。

(6)江先生(76岁,直肠息肉,图6)

肠镜一照,息肉现形!形态各异的大肠息肉,离癌有多远?(图6) 

图6

病理诊断:管状绒毛状腺瘤。

解读:混合了管状和绒毛状结构的腺瘤。绒毛状成分比例越高,通常意味着更大的体积、更高的恶变倾向。需要警惕是否有高级别瘤变或癌变区域。距离癌:中高危,癌前病变,风险高于纯管状腺瘤)

(7)李女士(57岁,乙状结肠息肉,图7)

肠镜一照,息肉现形!形态各异的大肠息肉,离癌有多远?(图7) 

图7

病理诊断:炎性增生性息肉。

解读:通常是对慢性炎症刺激的反应性增生。本质是良性的,癌变风险极低。其意义更多在于提示局部可能存在炎症或损伤。距离癌:安全,良性息肉。

三、癌变之路——并非所有息肉都危险,但腺瘤是“主角”

大肠癌的发展绝大多数遵循“正常黏膜→小息肉(通常是腺瘤)→大息肉(腺瘤)→高级别上皮内瘤变→早期癌(粘膜内/下癌)→浸润癌”的经典路径,即腺瘤-癌序列。这个过程通常比较缓慢,可能长达5-15年甚至更久,这为关键的早期发现和干预提供了宝贵的时间窗口。

(1)腺瘤性息肉

包含管状、绒毛状、管状绒毛状、传统锯齿状腺瘤,是真正的癌前病变。其癌变风险与类型、大小、数目、病理分级密切相关。

l 类型:绒毛状成分越多、传统锯齿状腺瘤风险越高。

l 大小:息肉越大(尤其>1cm),风险显著增加。

l 数目:息肉越多(尤其是腺瘤),风险越大。

l 病理分级:高级别上皮内瘤变(HGD)是癌变前的最后一步,风险极高。

(2)非腺瘤性息肉

增生性息肉:最常见,通常微小(<5mm),位于直肠乙状结肠,一般认为无癌变潜能(微小直肠/乙状结肠增生性息肉)。但近端结肠较大的增生性息肉需警惕,可能与锯齿状病变谱系相关。

炎性息肉、潴留性(幼年性)息肉:通常为良性,癌变风险极低。

错构瘤性息肉(如Peutz-Jeghers息肉):癌变风险高于增生性息肉,但低于腺瘤。

四、肠镜——结直肠癌防治中无可替代的地位

(1)火眼金睛:是发现息肉最直接、最有效的手段,高清成像能清晰显示息肉的位置、大小、形态(有蒂/无蒂)。

(2)斩草除根:绝大部分息肉可以在肠镜检查过程中使用圈套器、电凝钳等工具即时、微创地切除,将癌变风险扼杀在摇篮中。如病例中的陈先生,早期粘膜内癌通过内镜下切除即可达到治愈。

(2)明察秋毫:对可疑病灶,医生会钳取组织送病理检查,这是确诊息肉性质的金标准,如文中所有病例的确诊都依赖于此。

(3)未雨绸缪:基于发现的息肉性质和数量,医生能制定个体化的后续复查间隔,进行长期监测管理。

当肠镜的光束穿透肠道暗影,每一次息肉的发现与摘除,都是对癌症侵蚀的一次精准反击。从62岁赖女士的低级别瘤变,到44岁陈先生的粘膜内癌,再到32岁黄先生的安全型息肉——这些肠道凸起背后隐藏着截然不同的风险密码。医学之光不仅照亮了这些隐秘角落,更赋予我们改写生命剧本的力量。肠镜室里的每一次呼吸屏息,每一次镜下操作,都在重写生命的轨迹。那些被及时清除的息肉,成为生命之河中被成功疏通的险滩暗礁。正如陈先生体内被扼杀于萌芽的癌细胞所证明:癌症与健康之间,往往仅隔着一道肠镜的距离。

 


分享到:
版权声明:

1、凡本网页所涉及的任何资料(包括但不限于文字报导、图片、声音、录像、图表、广告、域名、软件、程序、版面设计、专栏目录与名称、内容分类标准)的版权均属现代健康报网和资料提供者所有。未经现代健康报网书面许可,任何人不得引用、复制、转载、摘编或以其他任何方式非法使用现代健康报网的上述内容。对于有上述行为者,现代健康报网将保留追究其法律责任的权利。

 2、凡本网注明“来源:现代健康报”或带有现代健康报LOGO、水印的所有文字、图片和音频视频稿件,版权均属现代健康报网所有,任何媒体、网站或单位和个人未经本网书面授权不得转载、链接、转贴或以其他方式复制发表。

相关链接

关于我们网站声明特别声明联系我们 |  违法和不良信息举报电话:027-85699962